Pectus Excavatum
About the condition
Pectus Excavatum
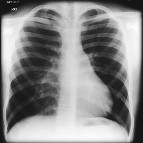
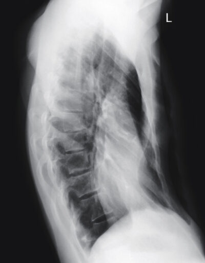
Pectus excavatum is a deformity of the chest in which the chest looks sunken or caved in. It occurs when the cartilage that holds the ribs to the breastbone has a defect and pushes the breastbone inward, leaving a deep dent in the centre of the chest between the pectoralis major muscles.
The cause of this chest deformity is unknown however it is more common among those with Down’s syndrome, Edwards syndrome, connective tissue disorders such as Marfan syndrome and those with homocystinuria or morquio.Pectus excavatum may be mild, moderate or severe and depending on each individual case, surgical repair may or may not be needed. For those who have more severe pectus excavatum the breastbone puts pressure on the heart and lungs, and the sunken chest creates issues with self-esteem and confidence, surgery may be needed to relieve the pressure and correct the deformity.
Signs & Symptoms
Signs & Symptoms
While the condition is categorised by a deep indent in the chest, children with pectus excavatum often won’t show any signs or symptoms until early adolescence when the conditions worsen due to the growth spurt at that age.
In the early teen years, mild to moderate cases may cause symptoms such as a small dent in the chest, shortness of breath during exercise or trouble breathing with various activities like playing the flute or singing. Late when rapid bone growth occurs in the early teenage years, the symptoms may become worse
-
1
Difficulty breathing which interferes with exercise
-
2
Limitations with physical activities
-
3
Tiredness
-
4
Chest pain
-
5
A rapid heartbeat or heart palpitations
-
6
Frequent respiratory infections
-
7
Coughing or wheezing, often diagnosed as asthma
Corrections
Procedure
The Nuss Procedure
A minimally invasive technique for correcting severe Pectus Excavatum in children. A curved steel bar is inserted beneath the sternum to reshape the chest wall — without the need for bone or cartilage removal.
Procedure
Ravitch Procedure
An open surgical technique used for older patients with complex Pectus Excavatum cases. While less common today, it remains an important option where minimally invasive approaches are not suitable.
Get Started Today
Book Your Consultation with Dr Schewitz
Appointments available across three hospital locations in South Africa.
Waterfall City Hospital, Midrand
Chris Barnard Memorial, Cape Town
Umhlanga Hospital, Durban
Online consultations





