Nuss Procedure
Why would this procedure be needed?

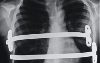
How is this procedure done?
During the Nuss procedure, Dr Schewitz will make two small incisions in the side of the chest. A stainless steel bar is then inserted behind the deformed breastbone and attached the outer edge of the ribs. The bar will then be turned to raise the breastbone. This bar is left in place to raise the breastbone and correct the deformity over 3 years. The bar is then removed.

What can be expected after surgery in terms of recovery?
Following the Nuss procedure, you will stay in the hospital for observation for the next few days, mainly for pain control. Before you go home, Dr Schewitz will prescribe you pain medication and tell you how to care for your incisions in the next few weeks.
In two weeks you will have a follow-up with him to ensure you are healing and recovering as you should. For the next 6 weeks, you will need to do breathing exercises. You will need to avoid strenuous activity and any physical activity that could cause an impact to the chest for the next 6 weeks until Dr Schewitz gives you the go-ahead.




